来源:河池市人民医院 日期:2022-07-05浏览:次
近日,河池市人民医院唐秀革院长带领心血管内科及多学科经导管心脏瓣膜病介入治疗团队为一名高龄重度主动脉瓣狭窄患者成功实施了经导管主动脉瓣置换术(TAVR),这是河池市人民医院心内科团队半年来完成的第10例经导管主动脉置换术,也标志着河池市人民医院的TAVR术实现了从“0”到“10”的突破。

患者术前心脏彩超结果

术中瓣膜植入影像及术后复查心脏彩超结果
河池市人民医院心血管内科在医院领导和兄弟科室的支持下,大力发展和推广经导管主动脉瓣介入治疗新技术,取得了良好成效,使用TAVR技术成功救治了众多高危高龄或复杂解剖主动脉瓣狭窄患者。在接受TAVR术的患者中,年龄最大为83岁,他们在术中、术后均无严重并发症发生,后期随访情况良好。
此外,心血管内科莫昌干主任带领的团队再次成功完成一例主动脉夹层覆膜支架腔内隔绝术,值得一提的是,这是心血管内科一病区开科半年来成功完成的第20例主动脉腔内隔绝术(EAVR)。
据悉,患者为58岁男性,有高血压病史,因突发胸痛由外院转入,行主动脉CTA结果提示主动脉夹层(Debakey III型),因夹层破开大,波及范围广,血肿累及动脉,随时有上行逆撕及主动脉破裂的危险,如不及时手术将危及生命。莫昌干主任带领团队术前详细判读影像资料,为患者制定最佳的手术方案,征得患者及家属同意后在局部麻醉下成功为患者实施手术,术后即刻造影提示夹层破口被完全封闭,顺利拆除了这颗“定时炸弹”。术后患者安返病房,经数日修养后康复出院。

患者术前CTA检查结果图像

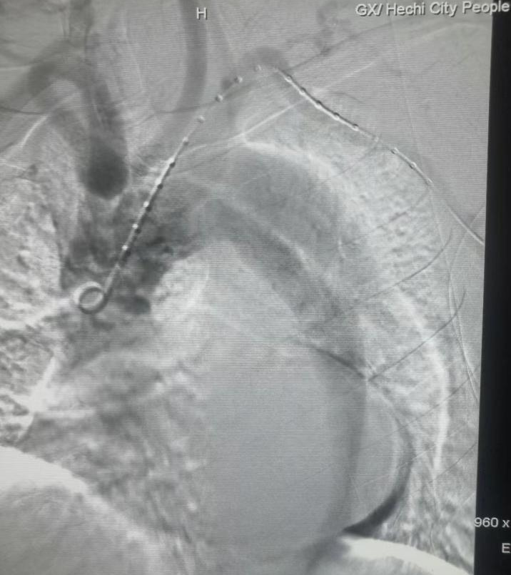
患者术中DSA影像及术后即刻造影图像
莫昌干主任表示,在接受经导管主动脉瓣置换、主动脉覆膜支架腔内隔绝的患者中,大部分为高龄患者,合并症多,手术风险高。手术的成功实施和患者的顺利康复,离不开团队成员的胆大心细,离不开多学科合作,离不开术前的精确评估、术中的细微操作及术后的精心护理。
据悉,TAVR 和EAVR技术的出现和快速发展,不仅显著提升了学科救治复杂危重心血管疾病的能力,也给河池市心血管领域带来了巨大变革,让患者享受“一站式”的优质医疗服务,为患者解除痛苦、为生命保驾护航,给更多患者带来了“生”的希望。
科室介绍
心血管内科是河池市规模最大、综合技术力量最雄厚、抢救设备最先进的心血管病专科,是2010年广西首批通过国家卫生部准入的25家心脏介入诊疗治疗医院之一,是河池市心血管内科疾病诊疗技术人才小高地,是河池市第一家通过国家级胸痛中心评审的单位,是河池市临床重点学科、重点专科单位。科室由心血管内科普通病房、心血管重症监护病房(CCU)组成。拥有两间现代化的介入导管室,两台进口大型C臂机,主动脉球囊反搏泵、心内电生理检查+射频消融治疗仪、临时起搏器、除颤仪、呼吸机、中央监护系统等一大批高精尖设备。科室率先在河池地区开展冠心病介入诊疗、先天性心脏病介入治疗、永久心脏起搏器植入术、埋藏式心律转复除颤器(ICD)植入、心脏再同步化治疗(CRT)及射频消融术等,其中冠脉造影及支架植入是科室重点诊疗项目,对左主干病变、分叉病变、三支病变等复杂冠脉病变诊疗技术已达到广西区内先进水平,此外,永久起搏器植入术、射频消融术、经导管主动脉置换术(TAVR)及主动脉腔内隔绝术均为河池市唯一能熟练开展的心脏介入诊疗技术,填补了河池地区诊疗技术的空白。

专家介绍

唐秀革,中共河池市卫生健康委员会党组成员,中共河池市卫生健康工作委员会委员,医院党委副书记,院长,主任医师,教授、硕士生导师。广西心血管病分会常务,广西心脏起搏与电生理学分会常委,中国南方国际心血管病学术会议主席团成员,广西冠心病介入论坛学术委员,广西中西医结合脑心同治专业委员会常委,河池市心血管分会主任委员、内科学分会主任委员,河池市人大代表,第九届广西青年联合会委员。2014年获得广西五一劳动奖章,2015年获得全国先进工作者,2018年荣获“河池工匠”荣誉称号,主持的《冠心病介入诊疗的临床应用观察》获河池市科技进步一等奖。2019年荣获“河池市第六批专业技术拔尖人才”;河池市心血管内科诊疗技术人才小高地负责人,河池市第一批特聘专家,第六批拔尖人才,河池市人民医院十大名医。曾到北京安贞医院进修学习。对心血管内科各种急、危、重症的抢救治疗及何种疑难杂症的诊疗具有较高水平,率先在我市范围内开展的冠脉造影术、支架置入术、临时/永久起搏器植入术、射频消融术、先心封堵术等达到了区内先进水平。目前,已完成心脏介入手术6000多例,在国内外期刊发表论文十余篇,其中SCI文章 3篇。

莫昌干,心血管内科副主任,一病区负责人,副主任医师,硕士研究生,在读博士。广西医学会心血管病学分会心电生理及起搏分会青年委员;广西心脏康复中心联盟委员;河池市医学会心血管分会委员;河池市第一批“十百千”人才工程医疗卫生类第三层次人选。从事心血管内科临床、教学与科研工作多年,具有扎实的专业技术和良好的科研素质,对冠心病、高血压病、心力衰竭、心律失常、心脏瓣膜病等疾病的诊断及治疗有丰富的临床经验,擅长冠心病、主动脉疾病、大动脉疾病的介入诊疗。曾到匈牙利德布勒森大学医学院、广东省人民医院进修学习,曾参与多项国家自然基金课题及省市级科研项目,目前承担市级科研项目1项,院校级科研项目1项,在国内外公开发表论文数篇,其中 SCI 文章3篇。

韦颖,心血管内科一病区副主任,中共党员,副主任医师,副教授,广西医学会心脏起搏与电生理分会委员,河池市心血管分会委员,河池市第一批“十百千”人才工程医疗卫生类第三层次人选,曾到北京阜外心血管病医院心脏急重症中心、心律失常介入诊疗中心及广西医科大学第二附属医院心内科进修学习。对心血管内科多发病及常见病的诊断及治疗,尤其对心律失常的诊疗有丰富的临床经验,擅长心律失常介入治疗如射频消融术、永久心脏起搏器植入术、埋藏式心律转复除颤器(ICD)植入、心脏再同步化治疗(CRT)等,目前承担市级科研项目1项,院校级科研项目1项,在省级及国家级期刊发表10篇。