来源:河池市人民医院 日期:2022-01-22浏览:次
“90秒时间到!支架释放,10秒打到4个大气压,慢慢加压,10个大气压维持30秒……”,由市卫健委党组成员、医院院长唐秀革和莫昌干主任带领的医疗团队成功完成我市首例血管内超声(IVUS)指导下冠脉生物可降解支架植入术。
近日,50岁的黄女士因胸闷、气促、头晕等症状逐渐加重,随即到河池市人民医院心血管内科一病区诊治。经检查发现,其冠状动脉血管前降支中段堵塞已达到90%,需行支架植入术解除狭窄病变。为了使患者获得最佳治疗效果,唐秀革院长和莫昌干主任反复讨论手术方案,认为患者血管病变特点适合行生物可降解支架植入术。

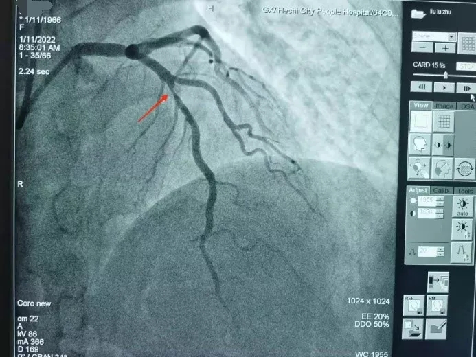
术前造影
生物可降解支架,可以在植入后2—3年内自行降解成水和二氧化碳,并被组织吸收,真正将“血管再通”变为“血管再造”。经医患双方充分沟通后,黄女士及家属选择该手术方案。
为精准评估血管情况,介入室团队首次采用血管内超声技术(IVUS)来指导手术,IVUS就是在心脏血管内做超声检查,其精细程度可想而知,堪称心血管介入术时医生的“火眼金睛”,它能更准确地判断冠状动脉有效管腔的大小、狭窄的程度及病变的性质。

术中操作
在介入室医护人员的配合下,唐秀革院长和莫昌干主任凭借丰富的手术经验和娴熟的技术,将一枚生物可降解支架精准地植入患者病变血管内,造影显示狭窄的血管即刻恢复血流,手术非常顺利,整个手术过程用时仅50分钟。术后,患者恢复良好,胸痛症状明显改善,患者及家属对心血管内科医师们精湛的医术给予高度评价。

IVUS复查完美贴壁
术后造影
据唐秀革院长表示,可降解支架是冠心病患者又一福音,可实现“介入无植入”的血管重建,这一技术必将提高河池市心血管疾病的诊疗水平,造福更多冠心病患者。
科室介绍
心血管内科是河池市规模最大、综合技术力量最雄厚、抢救设备最先进的心血管病专科,是2010年广西首批通过国家卫生部准入的25家心脏介入诊疗治疗医院之一,是河池市心血管内科疾病诊疗技术人才小高地,是河池市第一家通过国家级胸痛中心评审的单位,是河池市重点医学学科单位。科室由心血管内科普通病房、心血管重症监护病房(CCU)组成。拥有两间现代化的介入导管室,两台进口大型C臂机,主动脉球囊反搏泵、心内电生理检查+射频消融治疗仪、临时起搏器、除颤仪、呼吸机、中央监护系统等一大批高精尖设备。科室率先在河池地区开展冠心病介入诊疗、先天性心脏病介入治疗、永久心脏起搏器植入术、埋藏式心律转复除颤器(ICD)植入、心脏再同步化治疗(CRT)及射频消融术等,其中冠脉造影及支架植入是我科重点诊疗项目,对左主干病变、分叉病变、三支病变等复杂冠脉病变诊疗技术已达到广西区内先进水平,此外,正在开展的永久起搏器、射频消融术、经导管主动脉置换术(TAVR)及主动脉腔内隔绝术均为河池市地区唯一能熟练开展的心脏介入诊疗技术,填补了河池市地区的空白。
专家介绍

唐秀革,市卫健委党组成员,市卫健党工委委员,医院党委副书记,院长,主任医师,教授,硕士研究生导师。广西心血管病分会常务,广西心脏起搏与电生理学分会常委,中国南方国际心血管病学术会议主席团成员,广西冠心病介入论坛学术委员,广西中西医结合脑心同治专业委员会常委,河池市心血管分会主任委员、内科学分会主任委员,河池市人大代表,第九届广西青年联合会委员。2014年获得广西五一劳动奖章,2015年获得全国先进工作者,2018年荣获“河池工匠”荣誉称号,主持的《冠心病介入诊疗的临床应用观察》获河池市科技进步一等奖。2019年荣获“河池市第六批专业技术拔尖人才”;河池市心血管内科诊疗技术人才小高地负责人,河池市第一批特聘专家,第六批拔尖人才,河池市人民医院十大名医。曾到北京安贞医院进修学习。对心血管内科各种急、危、重症的抢救治疗及何种疑难杂症的诊疗具有较高水平,率先在我市范围内开展的冠脉造影术、支架置入术、临时/永久起搏器植入术、射频消融术、先心封堵术等达到了区内先进水平。目前,已完成心脏介入手术6000多例,在国内外期刊发表论文十余篇,其中SCI文章 2篇。

莫昌干,心血管内科一病区负责人,副主任医师,硕士研究生,在读博士。广西医学会心血管病学分会心电生理及起搏分会青年委员;广西心脏康复中心联盟委员;河池市医学会心血管分会委员;河池市第一批“十百千”人才工程医疗卫生类第三层次人选。曾获“都安瑶族自治县抗疫英雄”荣誉称号。从事心血管内科临床、教学与科研工作多年,具有扎实的专业技术和良好的科研素质,对冠心病、高血压病、心力衰竭、心律失常、心脏瓣膜病等疾病的诊断及治疗有丰富的临床经验,擅长冠心病、主动脉瓣疾病、大动脉疾病的介入诊疗。曾到匈牙利德布勒森大学医学院、广东省人民医院进修学习,曾参与多项国家自然基金课题及省市级科研项目,目前承担市级科研项目1项,院校级科研项目1项,在国内外公开发表论文数篇,其中SCI文章2篇。