来源: 日期:2024-11-25浏览:次
近日,广西医科大学第一附属医院河池医院·河池市人民医院泌尿外科成功为一名小儿麻痹症患者行输尿管切开取石手术,术后患者恢复良好,目前已康复出院。
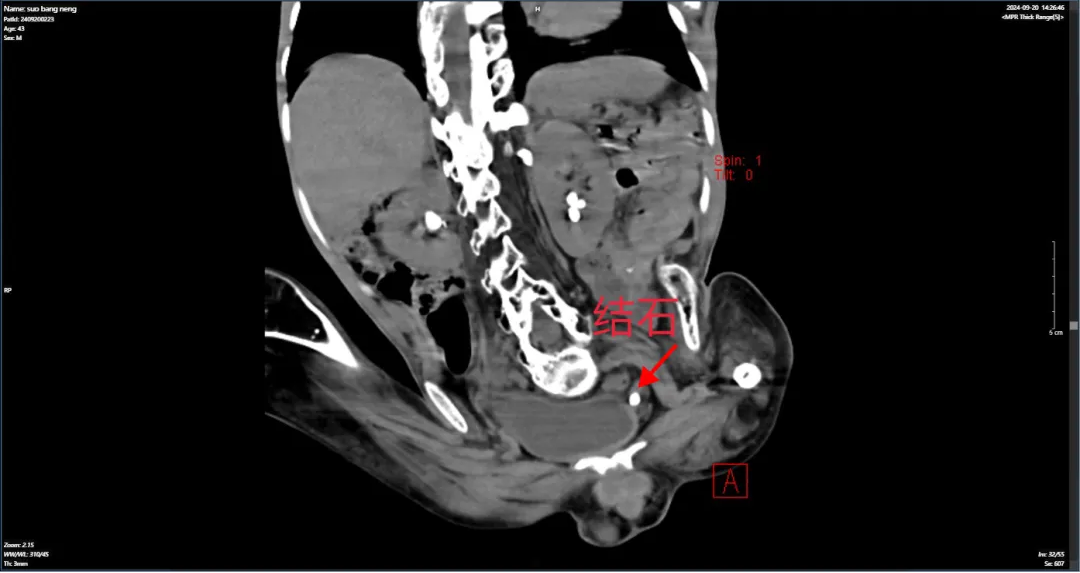
据了解,这位43岁的患者自幼便患有小儿麻痹症,四肢严重萎缩、畸形,长期卧床且日常生活无法自理。最近,突然出现腰痛和尿量减少等症状,被家人送至当地医院检查后,发现其左侧输尿管有结石并伴有左肾积水。鉴于患者身体状况特殊,手术难度较大,加上当地医院医疗条件有限,医生建议转至上级医院进行手术治疗。经多方咨询,得知河池市人民医院泌尿外科在治疗结石及其他泌尿系统疾病方面拥有丰富的临床经验,于是患者在家人的陪同下到河池市人民医院泌尿外科就诊。
入院后,经详细询问病史、查体及结合影像学资料,确诊为“左侧输尿管结石伴有积水和感染”,有手术指征。但因患者脊柱侧弯,腹腔脏器移位,解剖结构改变,且双下肢屈曲畸形,活动受限,大大增加了手术难度。所以术前为了保障患者安全和确保疗效,泌尿外科手术团队立即组织了多学科专家进行会诊,经充分讨论分析,最终为患者量身定制了个体化的治疗方案。

术中,在手术室和麻醉科医务人员的紧密配合下,泌尿外科手术团队凭借高超的医疗技术和细致耐心的操作,成功为患者实施了输尿管切开取石术,完整地取出了患者输尿管的结石。

术后,患者面临着疼痛、康复困难等挑战,出现了焦虑和紧张的情绪。泌尿外科医护团队及时为患者提供了心理支持,通过倾听、安慰、鼓励等方式,帮助患者调整心态,积极面对康复,最终在医护人员的精心照料下,患者顺利度过恢复期。

泌尿外科主任陆海表示:“如今,微创手术的应用日益广泛,但在某些特殊情况下,如上面这位患者所面临的,开放手术仍然具有不可替代的重要性。实际上,选择治疗方式必须基于患者的实际情况来追求最佳治疗效果。”