来源: 日期:2024-09-03浏览:次
近日,广西医科大学第一附属医院河池医院·河池市人民医院创伤骨科、手足外科、小儿骨科(简称“创伤手外科”)为一名由外省转入的肘部骨折患儿急诊行右肱骨髁上骨折(Gartland分型:Ⅲ型)闭合复位克氏针内固定术,复位效果满意,术后两日就康复出院。
这名来自四川的患儿今年4岁,在父母的陪同下到贵州省荔波县游玩,在玩耍时不慎摔伤,痛哭不止。看着孩子肿胀的手肘,父母赶忙就近送到当地医院检查,被告知需要进行切开复位手术治疗后,家属非常担忧,担心手术带来的风险、术后的伤口、手部活动情况以及是否影响以后的肢体功能,为寻求更好的治疗方案,又立即带着孩子前往河池市人民医院就诊。

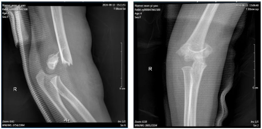
术前X线检查
几经辗转,抵达河池市人民医院后,创伤手外科副主任姚泓成详细询问病史、查体及结合影像学资料,明确诊断为“右肱骨髁上骨折(Gartland分型:Ⅲ型)”,有手术指征。考虑到孩子年纪小,且肘部肿痛明显、畸形严重,为减轻其痛苦,不留下终身的疤痕,创伤手外科团队组织了术前讨论,制定了详细的治疗方案,积极与家属沟通、完善术前准备后,姚泓成带领手术团队急诊为患儿实施右肱骨髁上骨折闭合复位克氏针内固定术+石膏固定术。
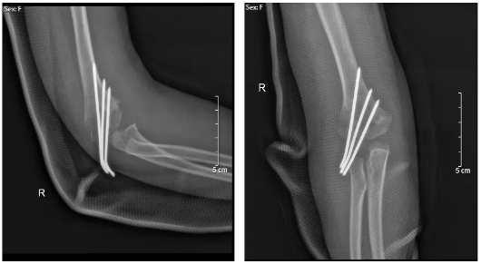
手术过程顺利,用时仅30分钟,术后拍片见克氏针分布合理,骨折复位良好,患儿肘部疼痛、肿胀等症状明显好转,家属对手术疗效也表示满意,术后两日就办理出院。

术后X线复查
据介绍,儿童的骨骼发育尚不成熟,容易造成外伤和骨折,肱骨髁上骨折最常见的受伤原因是摔倒,特别是摔倒时手肘撑地导致骨折。儿童骨折治疗的最终目标应该是肢体功能的全面恢复,闭合复位克氏针内固定术具有创伤小、零切口、无需缝合、固定牢靠等优势,真正贯彻了“做手术不开刀”的儿童骨折治疗的微创理念,既减少了患儿术后恢复的时间,又降低治疗费用、减少住院周期,减轻就医负担。
近年来,创伤骨科、手足外科、小儿骨科医护团队开展儿童发育性髋关节发育不良切开复位骨盆截骨内固定术、儿童四肢骨干骨折闭合复位弹性髓内钉内固定术、多指(趾)及并指(趾)畸形矫形术、先天性马蹄内翻足矫形术、脑瘫患儿肢体肌腱松解术、脑瘫患儿肢体肌腱延长术等,填补了市内多项医疗技术空白。