来源: 日期:2024-02-22浏览:次
近日,河池市人民医院关节、运动医学科为一名右膝关节肿胀成“球样”的患者,成功实施了定制旋转铰链式人工全膝关节置换术,为其重塑膝关节,恢复关节活动功能。
这是一名45岁的男性患者,右膝关节疼痛2年多,早期选择保守治疗,但随着病情的加重,连步行、下蹲都很困难,膝关节不能伸直弯曲,严重影响了其生活质量。为了寻求更好的治疗,不再被疾病折磨,到河池市人民医院关节、运动医学科就诊。
经过完善相关检查,最终被诊断为“夏科氏关节病”。关节、运动医学科主任吴毅华主任医师带领科室医疗团队再次对该患者进行认真问诊和检查,发现患者右膝关节明显肿胀,右下肢与左下肢不等长,相差达5cm,活动时存在关节错位、弹响,并伴有软组织不平衡、骨缺损等问题。这是一种罕见的骨科疾病,对该类患者行关节置换,是关节外科技术的一道“难题”,国内外鲜有报道,并且该患者情况更为复杂,如果用普通的膝关节假体行膝关节置换,术后可能出现膝关节不稳定而影响膝关节的活动功能的问题,因此普通的膝关节假体不能满足其需求。
面对复杂的病情以及患者强烈的保肢意愿,科室医护团队选择迎难而上。经过多次讨论,医疗团队最后决定为莫先生定制符合其人体结构的膝关节假体,同时利用3D打印出患肢骨骼模型模拟手术过程,及时调整术中治疗方式,优中选优。

患者术前膝关节图片

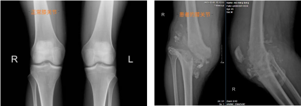
膝关节X线图片对比
经过充分的术前准备,在手术室及麻醉科医护人员的配合下,成功实施了定制旋转铰链式人工全膝关节置换术,为患者重塑膝关节。术后给予抗感染、预防血栓等治疗,同时加强功能锻炼,在康复治疗师的指导下,术后一周患者就可以自行拄拐下床行走。

患者的术后情况
科普知识
一、 什么是夏科氏关节病?
夏科氏关节病是一种继发于失神经支配后的关节炎。本病的关节神经营养障碍可继发关节的慢性、进行性骨质破坏,出现关节变形、异常活动及半脱位。由于其关节病变继发于中枢或外周神经深感觉损害而引起,亦称神经营养障碍性关节病,常见于40-60岁,男∶女=3∶1。
二、常见的致病因素
1.糖尿病:糖尿病患者的夏科氏关节病发病率为0.08% -13%,是最常见的原发疾病,多见于足踝部。
2.脊髓空洞症:多见于肩关节、上肢关节。
3.脊髓梅毒:多见于下肢大关节。病因还有脊髓结核、麻风病、重度脊髓膜膨出等。
三、常见症状
1.感觉神经受累,但运动神经无侵犯;
2.关节疼痛和活动受限不明显;
3.关节严重破坏、肿胀;
4.关节不稳,甚至畸形、活动过度;
5.触诊可有囊性感、活动性硬块等。
温馨提醒:
夏科氏关节病起病隐匿,进展缓慢,早期出现的症状可能仅为关节肿胀、轻微麻木等,极易被漏诊误诊。如关节出现畸形、溃疡,一定要及时到正规医院专科就医,避免误诊、误治以及截肢等悲剧的发生。