来源: 日期:2025-03-28浏览:次
近日,广西医科大学第一附属河池医院·河池市人民医院脊柱骨病外科团队运用“骨科手术机器人”为21岁脊柱侧弯患者完成高难度矫正手术。这名因神经纤维瘤病导致脊柱严重变形的姑娘,术后不仅身高增加了5厘米,体态恢复挺拔,更重拾了生活信心。
该名患者背部畸形长达5年,“高低肩”“剃刀背畸形”导致她长期腰背痛、行走稍快即感觉呼吸困难,甚至因为背部畸形感到自卑。多年来,患者辗转多家医院寻求治疗,但均被告知手术风险极高,有可能导致截瘫等严重后果。近期获悉河池市人民医院有机器人辅助技术后,患者慕名前来就诊。
经临床检查,患者确诊为神经纤维瘤病,这一遗传性疾病导致她脊柱骨骼发育异常,脊柱侧弯畸形进展迅速,矫正难度极大。面对这一复杂病情,广西医科大学第一附属医院派驻专家、骨科执行主任杨劲松教授与河池市人民医院骨科技术主任卢长巍、脊柱骨病外科主任覃兆捷博士进行详细的术前讨论与评估,决定为患者实施天玑机器人辅助置钉截骨矫形手术。
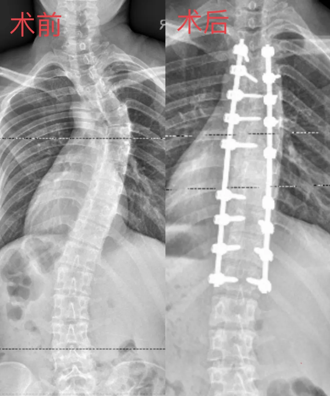
手术过程顺利,术后患者恢复状况良好,仅两周时间,患者脊柱侧弯角度大幅改善。她站立时肩膀平衡度提高,体态改观显著。摸着笔直的脊梁,姑娘激动地说:“背直了,肩膀也对称了,终于可以自信地穿上喜欢的衣服了。”
脊柱骨病外科专家介绍,天玑II代机器人辅助手术为复杂脊柱侧弯矫正提供了更精准、更安全的解决方案。术前,医生会用三维影像重建为患者“量体裁衣”,制定专属矫正方案。手术机器人的“透视眼”更是能辅助在骨骼畸形处精准打入螺钉,误差不到1毫米,减少神经损伤风险;还能智能计算截骨角度,确保矫正一步到位。整个过程创口小、出血少,手术时间大大缩短。
作为自治区级区域医疗中心建设单位,河池市人民医院通过引进天玑II代骨科手术机器人,填补了市内智能骨科领域的技术空白,达到了区内领先水平。未来,医院将继续拓展天玑II代骨科手术机器人辅助技术,让复杂脊柱疾病患者无需跨市求医,在“家门口”即可享受“机器人”的精准医疗服务。
